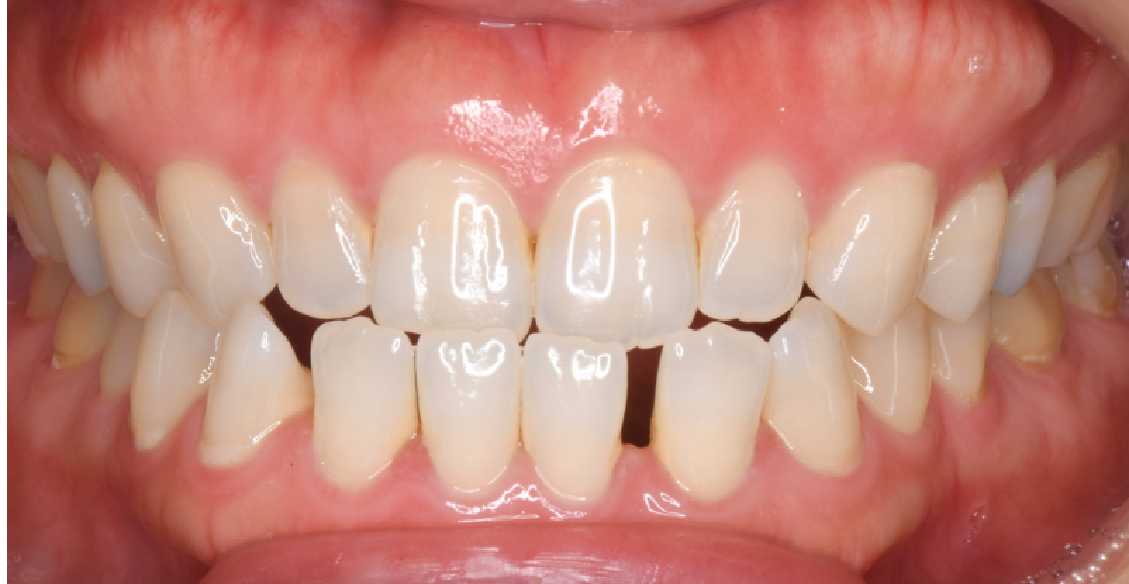
すきっ歯(空隙歯列)

Before

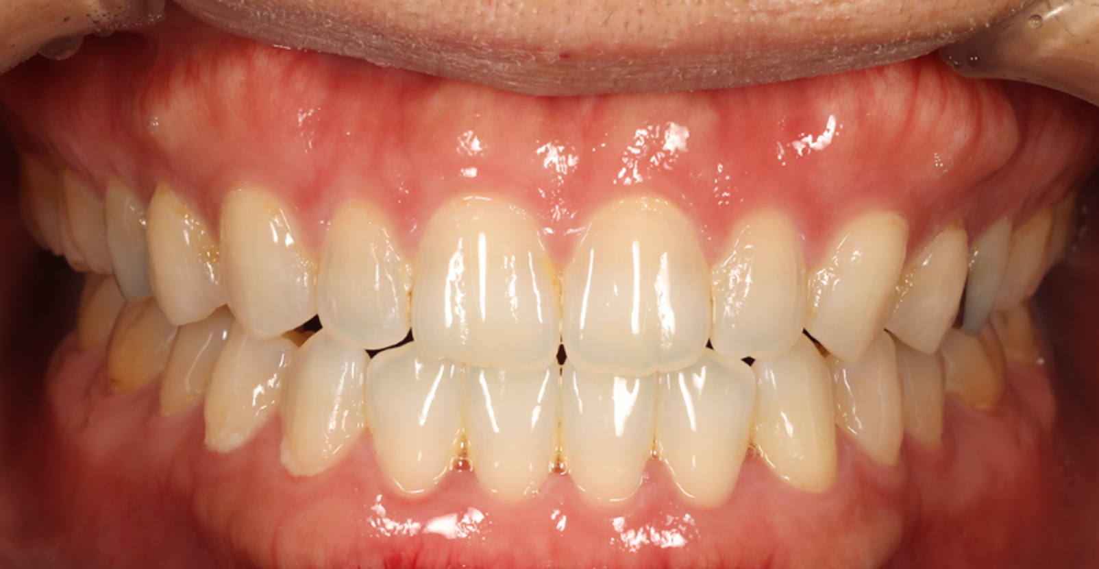
After
女性
- 治療期間
- 26ヶ月
- 費用総額
- 770,000円(税込)
- 症例
- インビザラインによる矯正治療
詳細へ

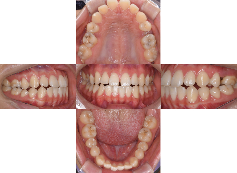
Before

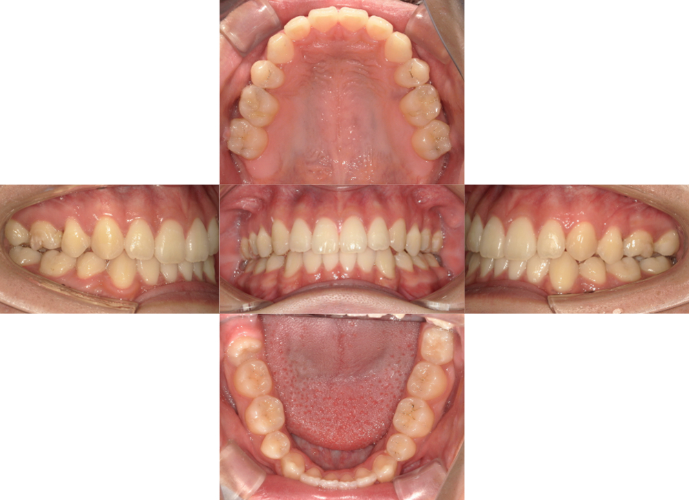
After
男性
- 治療期間
- 24ヶ月
- 費用総額
- 1,005,000円(税込)
- 症例
- インビザラインによる矯正治療
詳細へ

Before

After
女性
- 治療期間
- 57ヶ月
- 費用総額
- 1,170,000円(税込)
- 症例
- インビザラインによる矯正治療+セラミック、ジルコニア修復
詳細へ

Before

After
女性
- 治療期間
- 15ヶ月
- 費用総額
- 660,000円(税込)
- 症例
- インビザライン・ファーストによる矯正治療
詳細へ

Before

After
男性
- 治療期間
- 6ヶ月
- 費用総額
- 660,000円(税込)
- 症例
- インビザラインによる矯正治療
詳細へ

Before

After
女性
- 治療期間
- 14ヶ月
- 費用総額
- 495,000円(税込)
- 症例
- インビザラインによる矯正治療
詳細へ

Before

After
女性
- 治療期間
- 1ヶ月
- 費用総額
- 132000円(税込)
- 症例
- ダイレクトボンディングによる審美治療
詳細へ

Before

After
男性
- 治療期間
- 18か月
- 費用総額
- 880000円(税込)
- 症例
- インビザラインによる矯正治療
詳細へ

Before

After
女性
- 治療期間
- 25ヶ月
- 費用総額
- 800000円(税込)
- 症例
- インビザラインによる矯正治療
詳細へ

Before

After
女性
- 治療期間
- 6ヶ月
- 費用総額
- 385000円(税込)
- 症例
- インビザラインによる矯正治療
詳細へ