マウスピース矯正

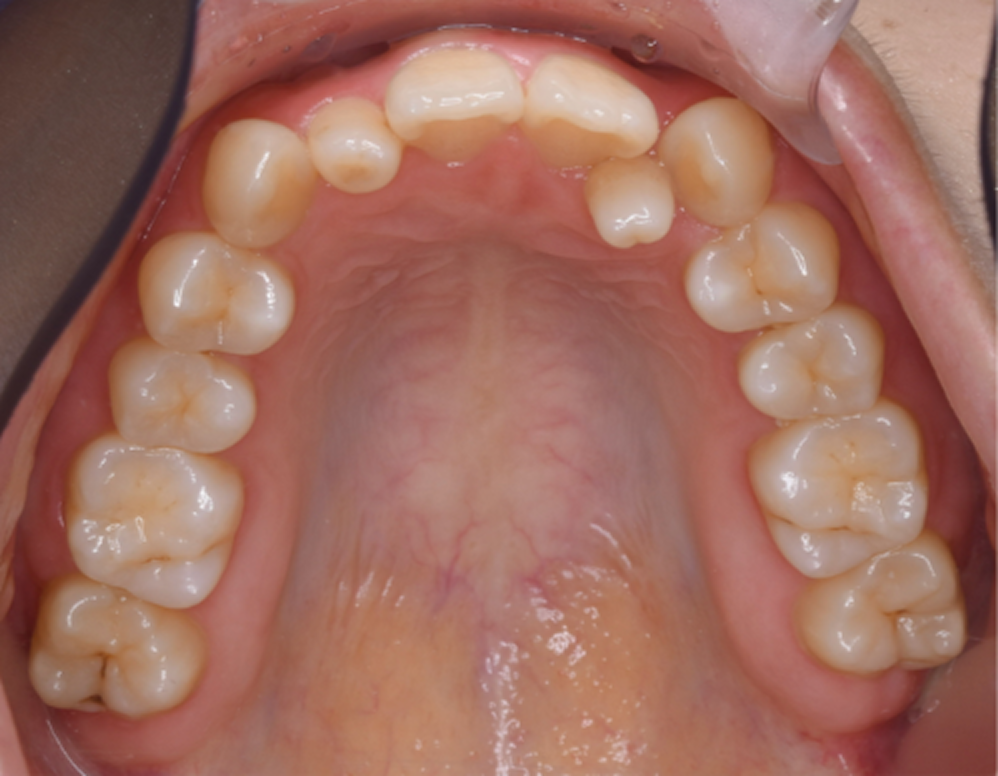
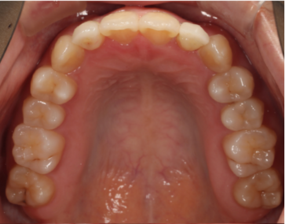
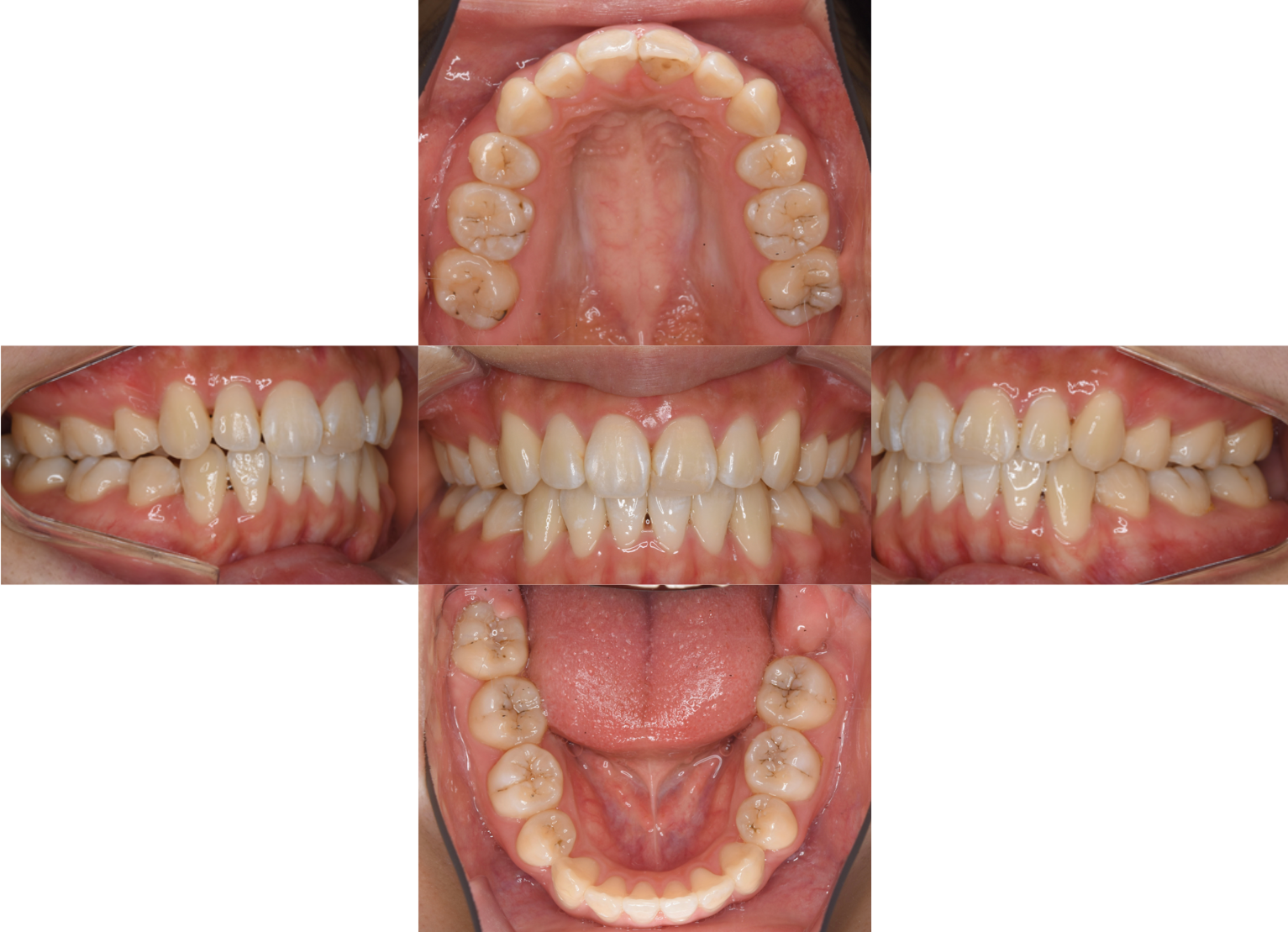
Before

After
女性
- 治療期間
- 26ヶ月
- 費用総額
- 770,000円(税込)
- 症例
- インビザラインによる矯正治療
詳細へ

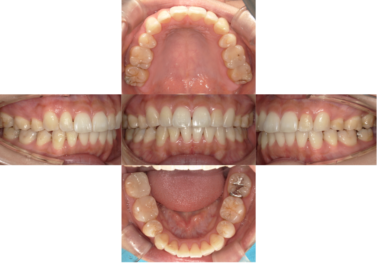
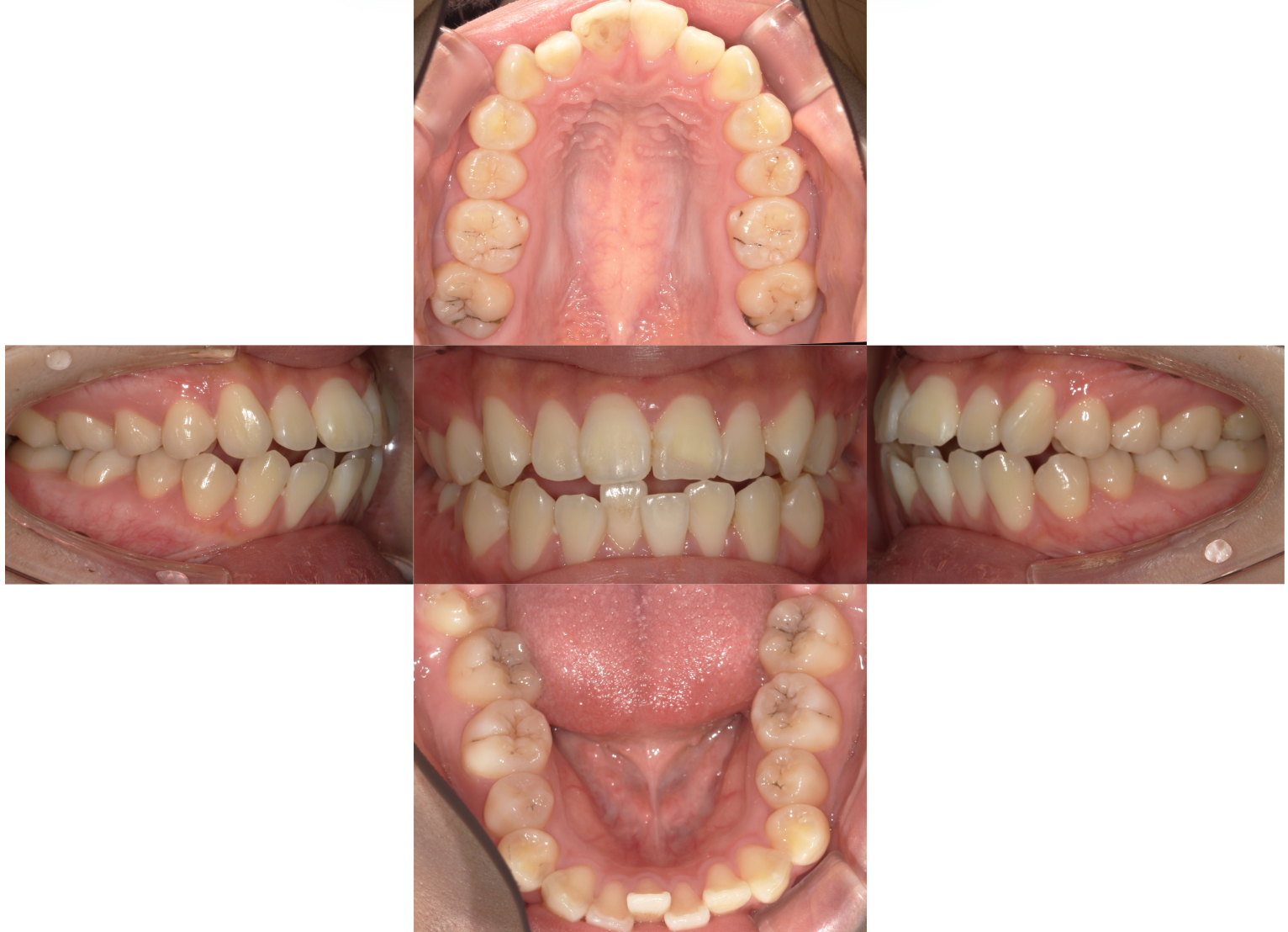
Before

After
男性
- 治療期間
- 28ヶ月
- 費用総額
- 787,600円(税込)
- 症例
- インビザラインによる矯正治療
詳細へ

Before

After
女性
- 治療期間
- 27ヶ月
- 費用総額
- 1,176,600円(税込)
- 症例
- インビザラインによる矯正治療とラミネートベニア修復
詳細へ

Before

After
女性
- 治療期間
- 18ヶ月
- 費用総額
- 1,013,300円(税込)
- 症例
- インビザラインによる矯正治療
詳細へ

Before

After
女性
- 治療期間
- 20ヶ月
- 費用総額
- 1,005,000円(税込)
- 症例
- インビザラインによる矯正治療
詳細へ

Before

After
女性
- 治療期間
- 23ヶ月
- 費用総額
- 1,005,000円(税込)
- 症例
- インビザラインによる矯正治療
詳細へ

Before

After
男性
- 治療期間
- 24ヶ月
- 費用総額
- 1,005,000円(税込)
- 症例
- インビザラインによる矯正治療
詳細へ

Before

After
女性
- 治療期間
- 24ヶ月
- 費用総額
- 1,092,000円(税込)
- 症例
- インビザラインによる矯正治療
詳細へ

Before

After
女性
- 治療期間
- 14ヶ月
- 費用総額
- 700,000円(税込)
- 症例
- インビザライン非抜歯による矯正治療
詳細へ

Before

After
女性
- 治療期間
- 14ヶ月
- 費用総額
- 700,000円(税込)
- 症例
- インビザラインによる矯正治療
詳細へ