抜歯矯正

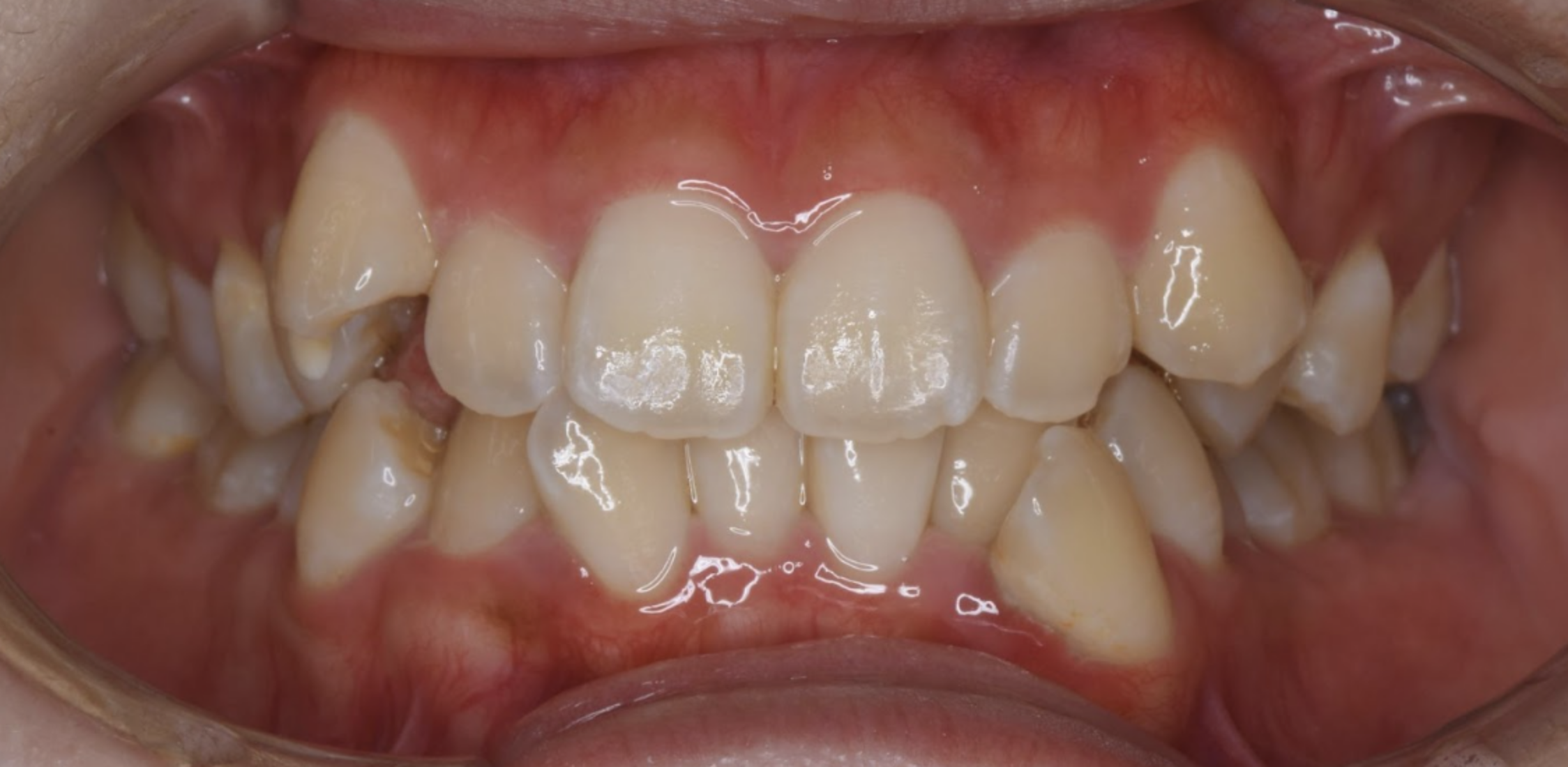
Before

After
女性
- 治療期間
- 34ヶ月
- 費用総額
- 880,000円(税込)
- 症例
- インビザラインによる矯正治療
詳細へ

Before

After
女性
- 治療期間
- 27ヶ月
- 費用総額
- 880,000円(税込)
- 症例
- インビザラインによる矯正治療
詳細へ

Before

After
女性
- 治療期間
- 23ヶ月
- 費用総額
- 880000円(税込)
- 症例
- インビザラインによる矯正治療
詳細へ

Before

After
女性
- 治療期間
- 2年8ヶ月 24回
- 費用総額
- 880,000円(税込)
- 症例
- ブラケットとワイヤーによる矯正治療
詳細へ