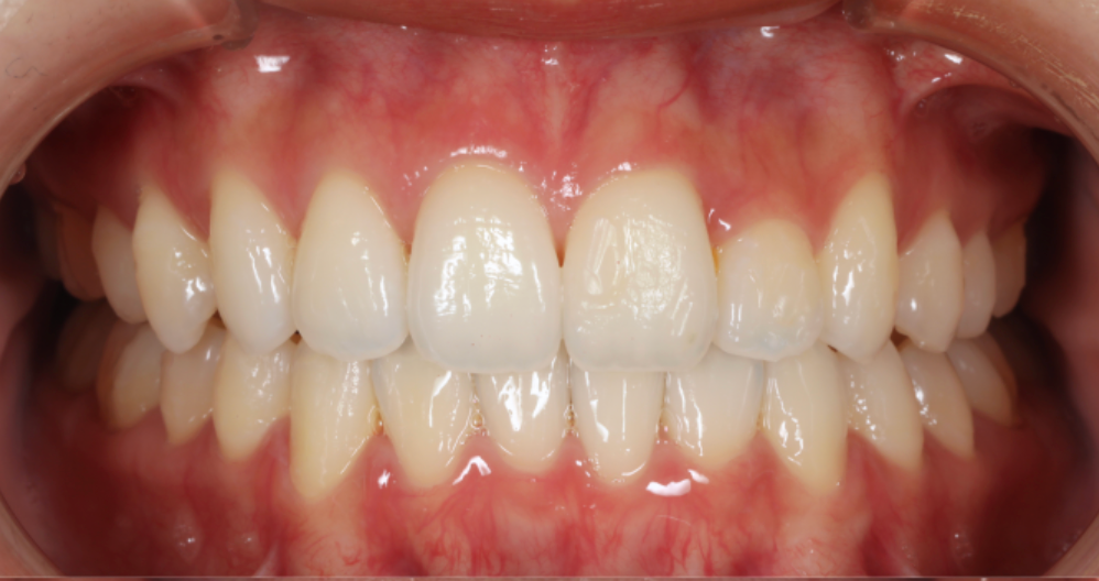
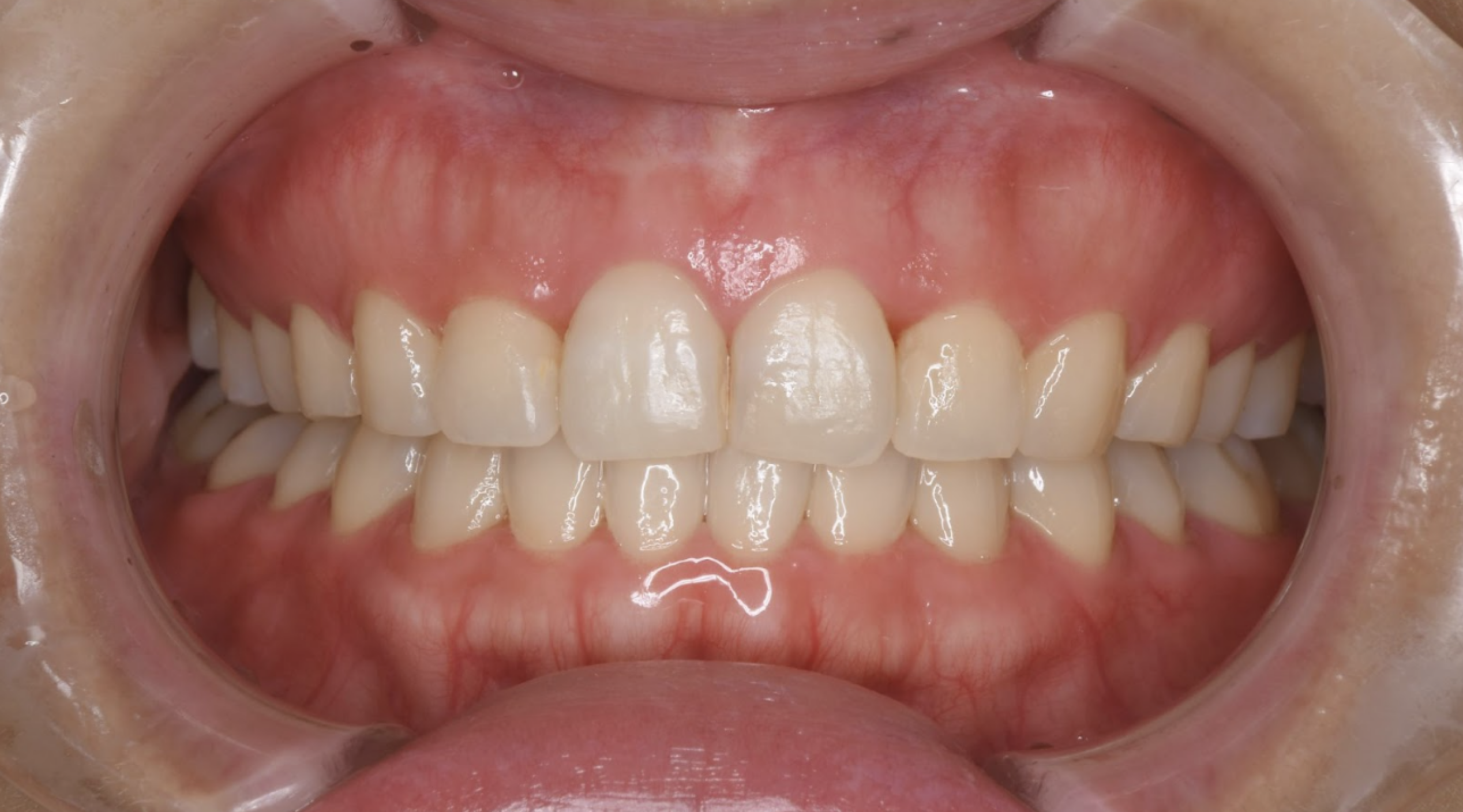
20~30代の治療
20代女性の歯列矯正
Before

After
女性
- 治療期間
- 24ヶ月
- 費用総額
- 1,092,000円(税込)
- 症例
- インビザラインによる矯正治療
詳細へ
20代女性の歯列矯正
Before

After
女性
- 治療期間
- 5ヶ月
- 費用総額
- 880,000円(税込)
- 症例
- インビザラインによる矯正治療
詳細へ
20代女性の歯列矯正
Before

After
女性
- 治療期間
- 14ヶ月
- 費用総額
- 700,000円(税込)
- 症例
- インビザライン非抜歯による矯正治療
詳細へ
20代女性の歯列矯正
Before

After
女性
- 治療期間
- 14ヶ月
- 費用総額
- 700,000円(税込)
- 症例
- インビザラインによる矯正治療
詳細へ
30代女性の歯列矯正
Before

After
女性
- 治療期間
- 24ヶ月
- 費用総額
- 700,000円(税込)
- 症例
- インビザラインによる矯正治療
詳細へ
20代男性の歯列矯正
Before

After
男性
- 治療期間
- 11ヶ月
- 費用総額
- 440,000円(税込)
- 症例
- インビザラインによる矯正治療
詳細へ
20代女性の歯列矯正
Before

After
女性
- 治療期間
- 20ヶ月
- 費用総額
- 880,000円(税込)
- 症例
- インビザラインによる矯正治療
詳細へ
20代女性の矯正治療
Before

After
女性
- 治療期間
- 3ヶ月
- 費用総額
- 550,000円(税込)
- 症例
- インビザラインによる矯正治療
詳細へ
30代女性の矯正治療
Before

After
女性
- 治療期間
- 11ヶ月
- 費用総額
- 1,100,000円(税込)
- 症例
- インビザラインによる矯正治療
詳細へ
30代女性の歯列矯正
Before

After
女性
- 治療期間
- 12ヶ月
- 費用総額
- 440000円(税込)
- 症例
- インビザラインによる矯正治療
詳細へ