歯列矯正
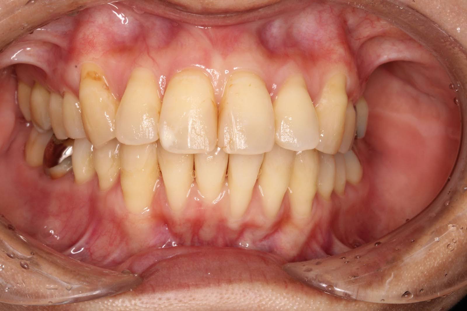
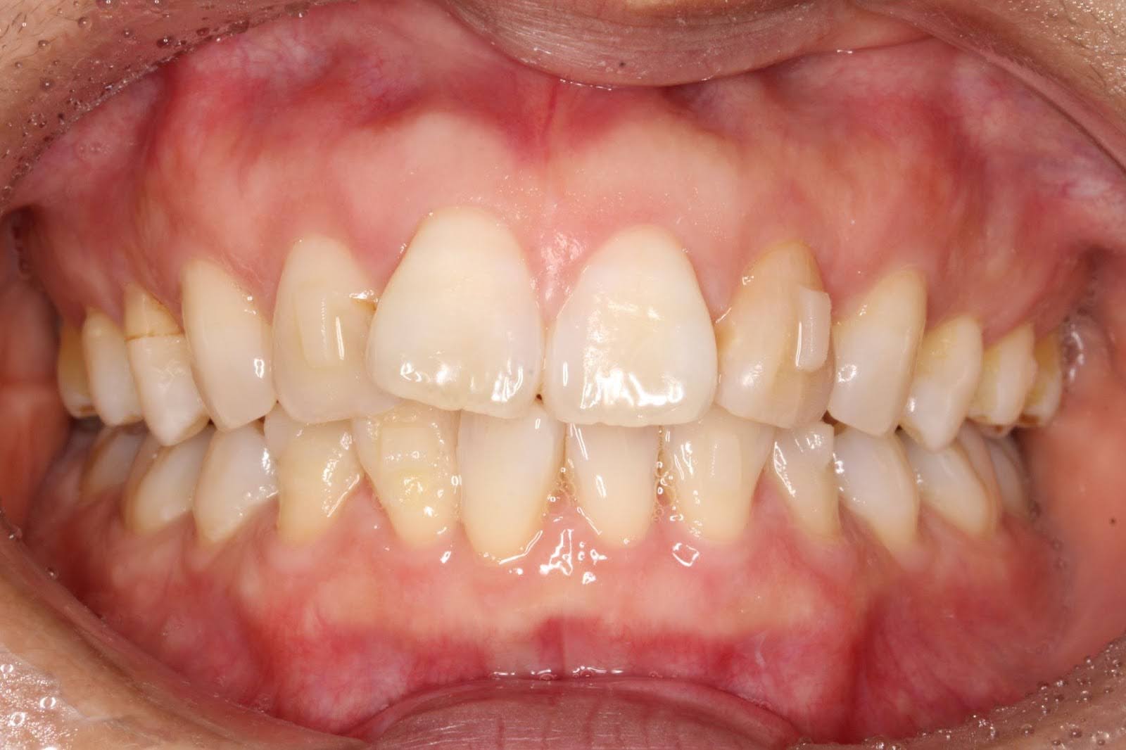
30代女性の歯列矯正
Before

After
女性
- 治療期間
- 15ヶ月
- 費用総額
- 1,100,000円(税込)
- 症例
- インビザラインによる矯正治療
詳細へ
10代女性の歯列矯正
Before

After
女性
- 治療期間
- 9ヶ月
- 費用総額
- 440,000円(税込)
- 症例
- インビザラインによる矯正治療
詳細へ
50代女性の歯列矯正
Before

After
女性
- 治療期間
- 4ヶ月
- 費用総額
- 550,000円(税込)
- 症例
- インビザラインによる矯正治療
詳細へ
40代女性の歯列矯正
Before

After
女性
- 治療期間
- 24ヶ月
- 費用総額
- 990,000円(税込)
- 症例
- インビザラインによる矯正治療
詳細へ
40代女性の歯列矯正
Before

After
女性
- 治療期間
- 10ヶ月
- 費用総額
- 550,000円(税込)
- 症例
- インビザラインによる矯正治療
詳細へ