20~30代の治療
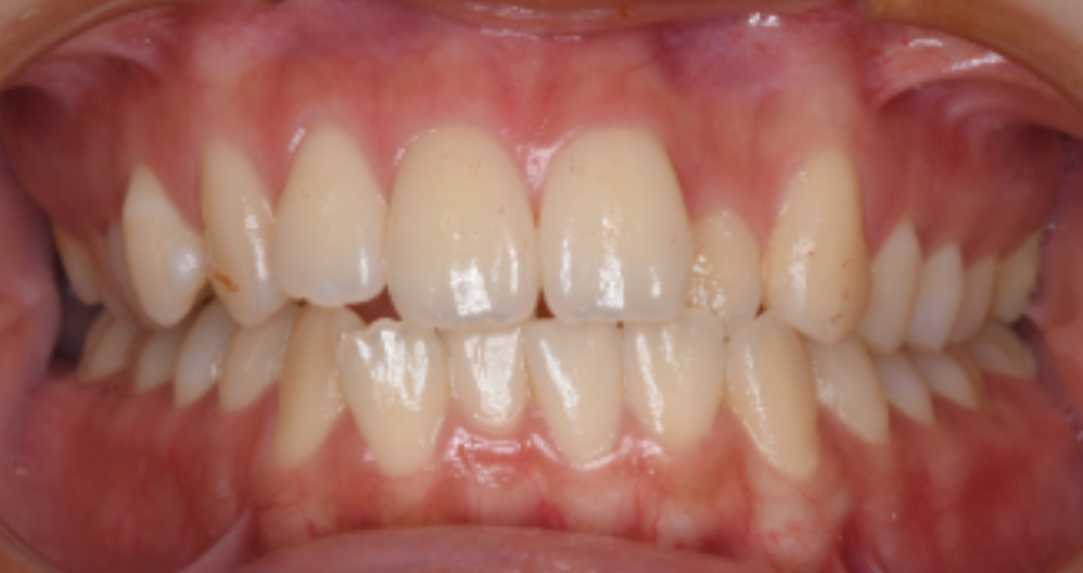
30代女性反対咬合の歯列矯正
Before

After
女性
- 治療期間
- 26ヶ月
- 費用総額
- 770,000円(税込)
- 症例
- インビザラインによる矯正治療
詳細へ
20代男性の便宜抜歯歯列矯正
Before

After
男性
- 治療期間
- 28ヶ月
- 費用総額
- 787,600円(税込)
- 症例
- インビザラインによる矯正治療
詳細へ
20代女性の歯列矯正と補綴修復
Before

After
女性
- 治療期間
- 27ヶ月
- 費用総額
- 1,176,600円(税込)
- 症例
- インビザラインによる矯正治療とラミネートベニア修復
詳細へ
30代女性の歯列矯正
Before

After
女性
- 治療期間
- 18ヶ月
- 費用総額
- 1,013,300円(税込)
- 症例
- インビザラインによる矯正治療
詳細へ
30代女性の歯列矯正
Before

After
女性
- 治療期間
- 20ヶ月
- 費用総額
- 1,005,000円(税込)
- 症例
- インビザラインによる矯正治療
詳細へ
20代女性の上下顎前突開口の歯列矯正
Before

After
女性
- 治療期間
- 23ヶ月
- 費用総額
- 1,005,000円(税込)
- 症例
- インビザラインによる矯正治療
詳細へ
20代男性の歯列矯正
Before

After
男性
- 治療期間
- 24ヶ月
- 費用総額
- 1,005,000円(税込)
- 症例
- インビザラインによる矯正治療
詳細へ
20代女性の歯列矯正
Before

After
女性
- 治療期間
- 24ヶ月
- 費用総額
- 1,092,000円(税込)
- 症例
- インビザラインによる矯正治療
詳細へ
20代女性の歯列矯正
Before

After
女性
- 治療期間
- 5ヶ月
- 費用総額
- 880,000円(税込)
- 症例
- インビザラインによる矯正治療
詳細へ
20代女性の歯列矯正
Before

After
女性
- 治療期間
- 14ヶ月
- 費用総額
- 700,000円(税込)
- 症例
- インビザライン非抜歯による矯正治療
詳細へ