症例
20代女性の歯列矯正
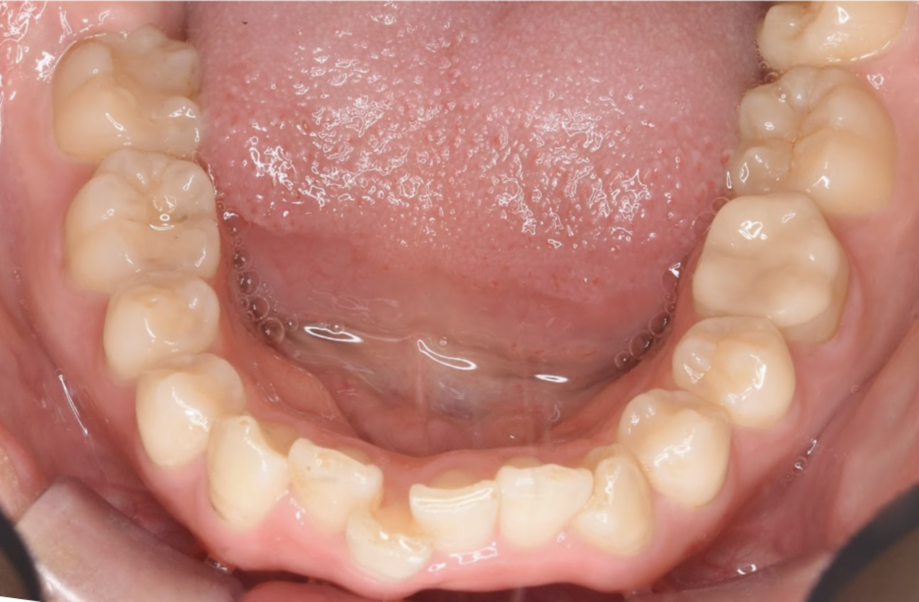
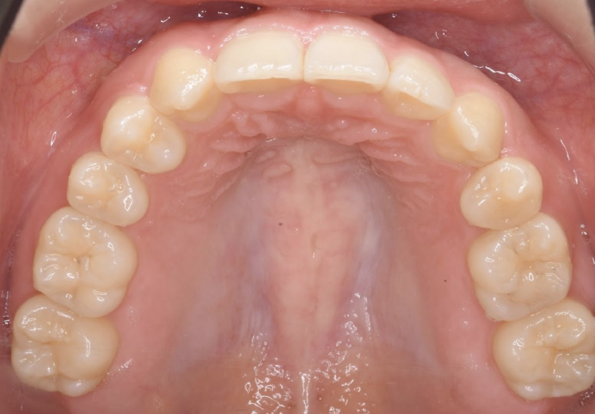
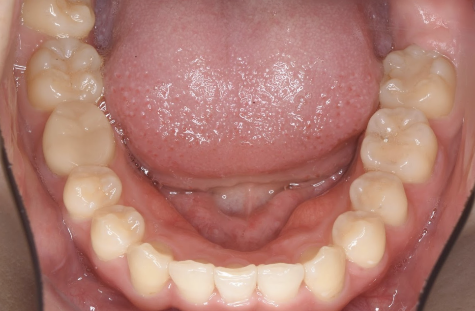
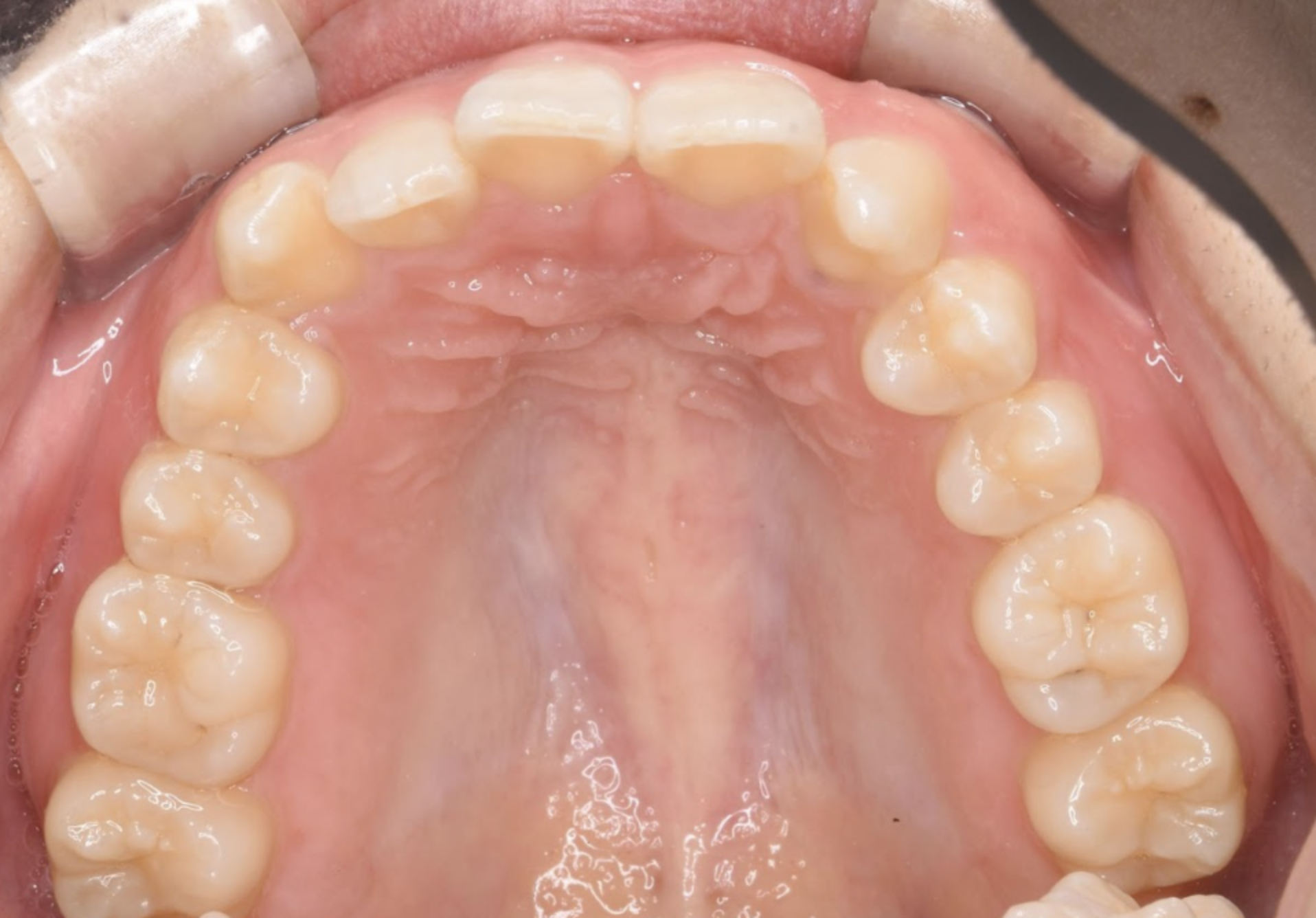
治療後の口腔写真
Before
After
Before
After
Before
After
治療の詳細
治療プラン:コンプリヘンシブ
追加アライナー:3周(計4周)
便宜抜歯:あり 左上4抜歯
智歯(親知らず)抜歯:なし
IPR:あり
交換日数:約7日
治療後の顔貌写真
この症例に使用した装置と費用
| インビザラインによる矯正治療 | 約 880,000 円(税込) |
|---|
※備考
矯正治療に伴う一般的なリスク・副作用
- ・最初は矯正装置による不快感、痛み等があります。数日間~1,2週間で慣れることが多いです。
- ・歯の動き方には個人差があります。そのため、予想された治療期間が延長する可能性があります。
- ・装置の使用状況、顎間ゴムの使用状況、定期的な通院等、矯正治療には患者さんの協力が非常に重要であり、それらが治療結果や治療期間に影響します。
- ・治療中は、装置が付いているため歯が磨きにくくなります。むし歯や歯周病のリスクが高まりますので、丁寧に磨いたり、定期的なメンテナンスを受けたりすることが重要です。また、歯が動くと隠れていたむし歯が見えるようになることもあります。
- ・歯を動かすことにより歯根が吸収して短くなることがあります。また、歯ぐきがやせて下がることがあります。
- ・ごくまれに歯が骨と癒着していて歯が動かないことがあります。
- ・ごくまれに歯を動かすことで神経が障害を受けて壊死することがあります。
- ・治療途中に金属等のアレルギー症状が出ることがあります。
- ・治療中に「顎関節で音が鳴る、あごが痛い、口が開けにくい」などの顎関節症状が出ることがあります。
- ・様々な問題により、当初予定した治療計画を変更する可能性があります。
- ・歯の形を修正したり、咬み合わせの微調整を行ったりする可能性があります。
- ・矯正装置を誤飲する可能性があります。
- ・装置を外す時に、エナメル質に微小な亀裂が入る可能性や、かぶせ物(補綴物)の一部が破損する可能性があります。
- ・装置が外れた後、保定装置を指示通り使用しないと後戻りが生じる可能性が高くなります。
- ・装置が外れた後、現在の咬み合わせに合った状態のかぶせ物(補綴物)やむし歯の治療(修復物)などをやり直す可能性があります。
- ・あごの成長発育によってかみ合わせや歯並びが変化する可能性があります。
- ・治療後に親知らずが生えて、凸凹が生じる可能性があります。加齢や歯周病等により歯を支えている骨がやせるとかみ合わせや歯並びが変化することがあります。その場合、再治療等が必要になることがあります。
- ・矯正歯科治療は、一度始めると元の状態に戻すことは難しくなります。

担当医の処置方針・コメント
HANA Intelligence
植田憲太郎
処置方針
HANA Intelligence 植田憲太郎
右上側切歯(2番)が欠損している症例でしたが、患者様との相談の上で、無理に2番目の歯の形を再現せずに今ある歯の形で綺麗に並べる方針をとりました。
左右を完全に対照的にしなくとも、綺麗な仕上がりというのは作ることができ、「自然である」ことがかえって違和感のない仕上がりになることもあります。